Blog
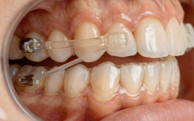
Distalizador de Carriere: qué es, cómo funciona y cómo cuidarlo paso a paso
Si te han colocado un distalizador de carriere, es normal que al principio te surjan dudas: ¿para qué sirve exactamente?, ¿cómo se usa?, ¿qué pasa si se me rompe algo?, ¿y los elásticos… de verdad hay que llevarlos todo el día? En este artículo te dejamos una guía...
Alineadores o brackets: qué opción es mejor
Cuando un paciente se enfrenta al inicio de un tratamiento ortodóncico, suele aparecer la misma duda: ¿alineadores o brackets? Más allá de la estética o la comodidad, existe una pregunta aún más importante: ¿qué sistema es mejor para tu salud bucodental? En este...
Ortodoncia transparente: guía completa para empezar tu tratamiento
La ortodoncia transparente se ha convertido en una de las opciones más demandadas por quienes buscan alinear sus dientes de forma discreta, cómoda y eficaz. En Clínica Dental PCM trabajamos con tecnología digital avanzada y planificación personalizada para ofrecer...
¿Cuál es la mejor férula para el bruxismo? Tipos, diferencias y cómo elegir la más adecuada
¿Te levantas con dolor de mandíbula, chasquidos al abrir la boca o sensación de fatiga en los músculos faciales? Puede que estés sufriendo bruxismo, un problema mucho más común de lo que imaginas. La buena noticia es que existe una solución eficaz, cómoda y...
Empaste roto: qué hacer, síntomas y cuándo acudir al dentista
¿Notas molestias en una muela que ya tenías empastada? ¿Sientes sensibilidad o incluso dolor al masticar o al tomar algo frío? Puede que tengas un empaste roto y, aunque parezca algo sin importancia, lo cierto es que necesitas atención profesional cuanto antes. En...
¿Cuántos dientes tiene un adulto?
¿Te has preguntado alguna vez cuántos dientes tiene un adulto y por qué ese número puede variar de una persona a otra? La dentición permanente suele constar de 32 piezas dentales, pero comprender su distribución, función y cuidados es clave para conservar una sonrisa...
Manchas blancas en los dientes: qué son, por qué aparecen y cómo eliminarlas
Las manchas blancas en los dientes son una de las preocupaciones estéticas más frecuentes, tanto en niños como en adultos. A menudo aparecen de forma inesperada y pueden afectar a una o varias piezas dentales. Aunque en muchos casos son inofensivas desde el punto de...
¿Tengo una muela del juicio infectada?
La muela del juicio infectada es un problema frecuente que afecta a muchas personas, especialmente cuando estas muelas, también conocidas como terceros molares o cordales, empiezan a erupcionar. Cuando se produce una infección en la muela del juicio, puede causar...
Estomatitis: Tipos, Causas y Tratamientos
Cuidar la salud bucal es esencial para mantener una buena calidad de vida. Sin embargo, a veces surgen afecciones que causan molestias y afectan nuestro bienestar, como la estomatitis. Esta es una inflamación de la mucosa bucal que puede presentarse en diversas formas...
Periodontitis: ¿qué es y cómo tratarla?
La periodontitis es una enfermedad bucal común y progresiva que afecta los tejidos que rodean y sostienen los dientes. A diferencia de la gingivitis, que es una inflamación reversible de las encías, la periodontitis implica daños permanentes en el tejido gingival y en...
La sedación consciente, la solución de Clínica Dental PCM para perder el miedo al dentista
En Clínica Dental PCM, entendemos que visitar al dentista puede generar ansiedad y miedo en muchas personas. Este tipo de sensaciones es una preocupación común entre muchas personas, y sabemos lo importante que es superar esta barrera para lograr una salud bucal...
Qué debes saber sobre los primeros dientes de los bebés
Si habéis sido padres hace poco, seguramente tendréis muchas dudas sobre los primeros dientes de los bebés. A diario, en nuestra clínica, nos encontramos con cuestiones como: ¿cuándo aparecen?, ¿es doloroso?, ¿cómo debemos cuidarlos?, etc. En nuestro blog de hoy...











